비보철 교정
1.심한 치주 질환이나 충치로 발치했다고 반드시 임플란트를 해야 하는 것은 아닙니다.

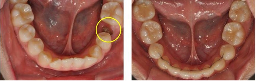
충치로 두번째 작은 어금니가 부러진 환자입니다. 덧니를 배열하기 위해 살릴 수 없는 작은 어금니의 뿌리를 제거하고 해당 공간을 이용하여 치아를 배열 하였습니다. 임플란트 할 필요 없이 교정 치료를 통해 덧니도 배열하면서 공간이 폐쇄된 경우입니다.

역시 충치로 첫번째 큰어금니가 발치되어 오랜 시간 방치된 환자입니다. 임플란트 없이 교정 치료를 통해서 두번째 큰어금니와 사랑니를 앞으로 당겨서 공간을 폐쇄하였습니다.

엑스레이 사진에서 화살표 방향으로 어금니와 사랑니를 이동시켜 치아 상실 공간을 폐쇄한 것을 확인 할 수 있습니다.
이미 치아가 발치 된 공간은 보철 없이 교정으로 메울 수 있습니다. 주변 치아의 쓰러진 정도, 치조골 소실의 정도에 따라 공간 폐쇄의 가능성과 기간이 달라집니다.
2. 치아가 상실되었고 돌출입도 있다면, 교정치료로 공간을 닫고 돌출입도 해결할 수 있습니다.

두번 째 작은 어금니가 상실 된 성인 교정 환자 입니다. 해당 공간을 이용해서 앞니를 뒤로 당겨 주었습니다.

앞니를 뒤로 당겨 주었기 때문에 돌출치아가 해결되었고 돌출입과 무턱 느낌도 개선된 것을 엑스레이에서 확인 할 수 있습니다.
만일 돌출입 증상이 있다면 치아를 상실한 공간에 임플란트를 진행하시기 전에 교정 진단과 상담이 필요합니다. 환자분께 가장 도움이 되는 결정을 내리실 수 있도록 도와드립니다.
모든 교정 치료 시에는 우식, 치주 질환등의 부작용이 있을 수 있으며 오랜 기간 동안 정기적인 내원과 관리가 필요합니다. 장기간의 치료가 필요한 만큼 꼼꼼하고 안정적으로 교정 치료를 진행할 수 있도록 노력하고 있습니다.

