아래턱 돌출
연령과 골격적 이상의 정도에 따라 성장 조절, 교정치료, 악교정 수술과 교정치료를 진행합니다.
1.성장기 아동 : 성장치료를 시도할 수 있습니다

치료 전 : 상악 성장 부족+앞니 반대교합

치료 후 : 상악 성장+반대교합 해소

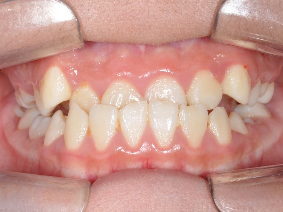
치료 전 : 앞니 반대교합

치료 후 : 성장 조절+치아 배열
2.성인 : 골격적 비정상의 정도에 따라 교정치료 또는 악교정 수술을 시행합니다

치료 전 : 반대교합+경도 골격적 비정상

치료 후 : 교정으로 반대교합 해소

치료 전 : 반대교합+경도 골격적 비정상

치료 후 : 교정으로 반대교합 해소
3.악교정 수술 : 골격 문제가 큰 경우 근본 원인의 해결을 위해 악교정 수술을 시행합니다

치료 전 : 심한 골격적 비정상

치료 후 : 악교정 수술

치료 전 : 심한 골격적 비정상 + 반대교합

치료 후 : 악교정 수술
아래턱의 돌출은 골격적 문제에 기인한 경우가 많습니다. 환자의 연령, 골격적 비정상의 정도에 따라 성장 조절, 교정치료, 악교정 수술을 동반한 교정치료를 진행하게 됩니다. 김영훈 원장은 심한 하악골 돌출 환자의 증례 연구를 통해 SCI 논문 Severe skeletal Class III malocclusion treated with 2-stage orthognathic surgery with a mandibular step osteotomy. 를 미국교정학회지(Am J Orthod Dentofacial Orthoped.)에 발표하였습니다.

