자가 결찰 맞춤 교정
자가 결찰 장치를 통해 빠른 배열이 가능한 케이스가 있습니다.

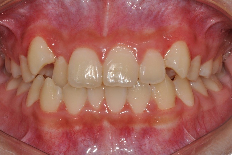
대칭적인 송곳니 덧니

자가 결찰 브라켓을 통한 배열

덧니의 배열을 위한 발치 케이스

자가 결찰 브라켓을 통한 배열
자가 결찰 장치를 통해 대칭적인 덧니의 배열이나 발치 케이스에서의 앞니 배열 단계를 빠르게 진행 할 수 있습니다.

협착된 상악 치열

자가 결찰 브라켓을 통한 치열 확장

협착된 하악 치열

자가 결찰 브라켓을 통한 치열 확장
치열의 협착이 있는 경우 자가 결찰 브라켓을 통해 치열의 전방, 측방 확장을 쉽게 진행 할 수 있습니다.

Clippy-C

Damon clear
대표적인 자가 결찰 브라켓으로 Clippy-C 와 Damon clear를 사용하고 있습니다. 두 장치 모두 치아 색에 가까워 심미적이며, Damon clear의 경우 금속 부분이 없어 더욱 치아색에 가깝습니다.